
En hospital rural del estado de Nuevo León, México, ocurrió un extraño caso de interés científico. Nació una bebé con una especie de "cola" que medía 5.7 centímetros de largo. Por el momento no se reveló la identidad de la pequeña, pero el diario Journal of Pedriatic Surgery Case Reports informó que el embarazo de la madre no tuvo complicaciones, ni fue expuesta a radiación u otros agentes que pueden ocasionar defectos en la bebé.
Este fue el primer caso en México; sin embargo, a lo largo del mundo hay más casos de humanos con cola. De acuerdo con el reporte de médicos, cuando revisaron al recién nacido vieron que la extremidad sobresalía al final de su coxis. Al parecer, podía moverse sin causar dolor al bebé, pero no tenía ninguna clase de movimiento espontáneo.
Ante esta situación los especialistas comenzaron a realizar las pruebas pertinentes a la extremidad adicional y la picaron con una aguja, provocando que la recién nacida llorara, permitiéndoles saber que la cola estaba conectada al sistema nervioso.

¿Cómo era la cola de la bebé?
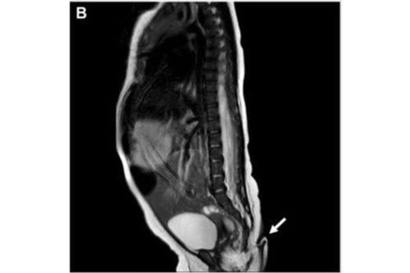
La extremidad adicional sólo fue visible fuera del vientre de su madre. Tenía una longitud de 5.7 centímetros, con entre 3 y 5 milímetros de diámetro y se encontraba en la hendidura interglútea. Se realizó una radiografía donde se descartó que la cola tuviera algún hueso o tipo de irregularidad.
Asimismo, se hizo una ecografía que confirmo la inexistencia de alguna malformación renal o de tracto urinario. Tras descartar que el bebé no tenía otro defecto congénito, la enviaron a casa para continuar con el tratamiento de forma ambulatoria.

¿Qué era la extremidad extra de la bebé?
Los especialistas mencionan que hay dos tipos de colas humanas. Las primeras son pseudocolas, que son crecimientos que se parecen a una, pero en realidad se originan en la columna vertebral o tumores y las colas verdaderas, que contienen músculos, vasos sanguíneos y nervios.
En este caso de México, la extremidad tenía carne con tejido blando, arterias, venas y nervios, por lo que era una cola de verdad.

Médicos decidieron quitar la cola de bebé
Tras el reporte los médicos esperaron dos meses para volver a examinar a la menor y percibieron que hubo un crecimiento. Luego de la valoración, determinaron que debía extirparse e hicieron una cirugía para quitar la cola. El proceso salió con éxito y no hubo complicaciones.
La parte afectada se reconstruyó mediante cirugía plástica. El Journal of Pediatric Surgery Case Reports mencionó que la pequeña finalmente fue dada de alta y no se registraron complicaciones.







